Zahnärzte im DödrfliZahnärzte im Dörfli
DE  |  EN  |  FR  |  IT
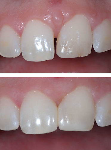
Bei unseren Vorher–Nacher Fallbeispielen
haben wir die sichtlichen Veränderungen
dokumentiert.

Eine alte unästhetische Füllung

gegen eine neue Kunststoff- Füllung ausgetauscht und mit dem Laser ein Fibrom entfernt.