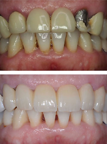
Die alte unanatomisch geformte
Brücke verlor ein Stück Porcellan bei einem Unfall. Die Brücke wurde von Eckzahn bis Eckzahn neu gefertigt und in Farbe und Form der Anatomie entsprechend angepasst.
Natürlichkeit ist gefragt...
Die alte unanatomisch geformte
Brücke verlor ein Stück Porcellan bei einem Unfall. Die Brücke wurde von Eckzahn bis Eckzahn neu gefertigt und in Farbe und Form der Anatomie entsprechend angepasst.
Natürlichkeit ist gefragt...